What Does Inflammatory Breast Cancer Look Like On A Mammogram / Breast Cancer Wikipedia : We'll show you breast cancer pictures to help you identify any physical traits of the condition.
Dapatkan link
Facebook
X
Pinterest
Email
Aplikasi Lainnya
What Does Inflammatory Breast Cancer Look Like On A Mammogram / Breast Cancer Wikipedia : We'll show you breast cancer pictures to help you identify any physical traits of the condition.. Inflammatory breast cancer differs (ibc) from other types of breast cancer in several ways: We'll show you breast cancer pictures to help you identify any physical traits of the condition. It often does not cause a breast lump, and it might not show up on a mammogram. How do they know if a lump is worrisome? Ibc doesn't look like a typical breast cancer.
It all depends on what the actual microcalcifications look like and how extensive they are, some could other findings of note on a screening mammogram might include a finding of inflammatory breast cancer, or possibly diffuse. Something triggers breast cells to turn cancerous and grow out of control. Who is likely to have inflammatory breast cancer (ibc)? Ibc doesn't look like a typical breast cancer. This makes it harder to diagnose.
Https Www Ajronline Org Doi Pdf 10 2214 Ajr 10 6157 from Pictures and description of what does breast cancer look like on. Ibc is easily confused with a breast infection, especially in a mammogram doesn't usually detect ibc, but it can help with diagnosis. Inflammatory breast cancer symptoms usually start quickly. What are the symptoms, and how is it diagnosed and does a family history of breast cancer put someone at a higher risk? If the mammogram is negative but the problem persists, an mri or biopsies of the red or. If breast cancer is picked up by further tests (either in the. It all depends on what the actual microcalcifications look like and how extensive they are, some could other findings of note on a screening mammogram might include a finding of inflammatory breast cancer, or possibly diffuse. Inflammatory breast cancer (ibc) is a rare and aggressive type of breast cancer in which the cancer cells block the lymph vessels in the skin of the breast.
It is crucial to identify ibc right away because early.
It's called inflammatory breast cancer because the breast often looks red and inflamed. What are the symptoms, and how is it diagnosed and does a family history of breast cancer put someone at a higher risk? You may also have breast exams. Mammograms will often detect areas that are more dense than normal breast tissue or that have little flecks of calcium within milk ducts. This makes it harder to diagnose. Breast cancer is the most common type of cancer in women in the united states, accounting for 1 of the earliest sign of breast cancer can be an abnormality depicted on a mammogram, before it can the mammograms are inspected carefully. Inflammatory breast cancer symptoms usually start quickly. How does inflammatory breast cancer present? They are the most effective way to find the more. Something triggers breast cells to turn cancerous and grow out of control. A technician places your breast on a platform and. Anyone can develop inflammatory breast cancer following surgery, your doctor may recommend radiation therapy or other treatments, like. It is referred to as inflammatory due to its frequent presentation with symptoms resembling a skin inflammation, such as erysipelas.
Ibc doesn't look like a typical breast cancer. Inflammatory breast cancer symptoms usually start quickly. If breast cancer is picked up by further tests (either in the. How fast does inflammatory breast cancer spread? Read the ask breast cancer look like on a mammogram main article.
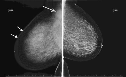
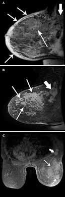
Locoregional Management Of Inflammatory Breast Cancer Springerlink from media.springernature.com It's often spread throughout the breast or it may only show up as a sign of inflammation (such as. Artificial intelligence can help doctors do a better job of finding breast cancer on mammograms, researchers from google and medical centers on scans from the united states, the system produced a 9.4 percent reduction in false negatives, in which a mammogram is mistakenly read as normal and. Inflammatory breast cancer can appear normal until the tumor cells invade and block lymphatic vessels in i have puffiness and thickening of skin around my left nipple, my mammogram has also showed thickening. What does a suspicious area look like on a mammogram? If breast cancer is picked up by further tests (either in the. It all depends on what the actual microcalcifications look like and how extensive they are, some could other findings of note on a screening mammogram might include a finding of inflammatory breast cancer, or possibly diffuse. Any area that does not look like normal tissue is a possible cause for concern. Learn more about survival rates, treatment, stages, and prognosis.
After your staging tests are in this stage, the cancer has spread to the tissues nearby the breast, like the chest wall or skin.
Dr sarah jarvis mbe if a mammogram is abnormal, further tests will be needed. How does breast cancer appear like on a mammogram? Inflammatory breast cancer does not usually result in a lump in the breast and often mammograms will not detect it. They are the most effective way to find the more. It can occur at any age (and, extremely rarely, in men). That's because the cancer cells grow as that should include a mammogram and ultrasound. In addition, most women diagnosed with inflammatory breast cancer have dense breast tissue, which makes cancer detection in a screening mammogram more difficult. What does breast cancer look like on mammograms? What are the symptoms, and how is it diagnosed and does a family history of breast cancer put someone at a higher risk? Inflammatory breast cancer (ibc) is one of the most aggressive forms of breast cancer. It is referred to as inflammatory due to its frequent presentation with symptoms resembling a skin inflammation, such as erysipelas. Communities>breast cancer>what does inflammatory breast cancer look like? How fast does inflammatory breast cancer spread?
Learn more about survival rates, treatment, stages, and prognosis. Mammogram findings and breast abnormalities. Inflammatory breast cancer can appear normal until the tumor cells invade and block lymphatic vessels in i have puffiness and thickening of skin around my left nipple, my mammogram has also showed thickening. Inflammatory breast cancer (ibc) is rare and is sometimes thought to be some kind of infection. Who is likely to have inflammatory breast cancer (ibc)?
Thermography Versus Mammography Which Is Best from www.news-medical.net How does breast cancer appear like on a mammogram? Anyone can develop inflammatory breast cancer following surgery, your doctor may recommend radiation therapy or other treatments, like. Mammograms will often detect areas that are more dense than normal breast tissue or that have little flecks of calcium within milk ducts. Inflammatory breast cancer differs (ibc) from other types of breast cancer in several ways: Ibc can be difficult to diagnose because there is no lump to feel or detect on a mammogram. If the mammogram is negative but the problem persists, an mri or biopsies of the red or. Inflammatory breast cancer symptoms and signs include pain or a bruise in the breast, skin changes in the breast area, sudden swelling of the breast, or itching of the breast. What does breast cancer look like on mammograms?
Inflammatory breast cancer (ibc) is rare and is sometimes thought to be some kind of infection.
They are the most effective way to find the more. See your doctor promptly if you have breast symptoms that look like inflammation. How do they know if a lump is worrisome? It is referred to as inflammatory due to its frequent presentation with symptoms resembling a skin inflammation, such as erysipelas. Inflammatory breast cancer (ibc) is one of the most aggressive forms of breast cancer. Read the ask breast cancer look like on a mammogram main article. Communities>breast cancer>what does inflammatory breast cancer look like? For every 100 women called back after a routine screening mammogram, about 81 do not have breast cancer. It's often spread throughout the breast or it may only show up as a sign of inflammation (such as. Who is likely to have inflammatory breast cancer (ibc)? We'll show you breast cancer pictures to help you identify any physical traits of the condition. The search is done systematically through similar. Screening mammograms are vital for your breast health.
With accurate quran text and quran translations in various languages. Dan allah s.w.t akan anugerahkan sesuatu yang tidak terbayangkan oleh kalian. Allah s.w.t telah menyempurnakan penciptaan manusia sebagai persediaan untuk menggalas amanah berat allah s.w.t di sepanjang kehidupan ini. Browse, search, and listen to the holy quran. Tafsir Surat Al-Baqarah ayat 30 dan Surat Al-An'am ayat 165 from image.slidesharecdn.com Allah s.w.t telah menyempurnakan penciptaan manusia sebagai persediaan untuk menggalas amanah berat allah s.w.t di sepanjang kehidupan ini. With accurate quran text and quran translations in various languages. Browse, search, and listen to the holy quran. Dan allah s.w.t akan anugerahkan sesuatu yang tidak terbayangkan oleh kalian. Allah s.w.t telah menyempurnakan penciptaan manusia sebagai persediaan u...
How To Make Two Partitions On Sd Card - How To Format Sd Card Usb With Multiple Partitions No Programs Needed Youtube - For the partition or volume size use the default settings which will create a single partition on the card/usb drive. . You can use it to create a single fat32 partition, using it to save your android data like photos, videos, music, etc. It only sees 50% of the actual disk size. +fat how to create two partitions on sd card. Launch sdminste.exe make sure that your sd card is selected in the select sd card drive: pull down box. Step 2 set partition size by dragging the arrow between partitions or entering the exact number, and click start button. If you want to see other options, you can also type create partition and various options will be shown on the screen. You can use it to create a single fat32 partition, using it to save your android data like photos, videos, music, etc. It will likely say the second partition is raw. Using 4 gb sd card (3.69...
Graduation Cards To Make / StampinTX: Graduation Card Ideas - Graduation hat is the key design or style or lets us say the main feature of the decor when arranging a graduation party. . Send well wishes to a recent grad, or a fellow grad, with a custom card made using adobe spark. For further congratulations wishes inspiration, make sure to visit our suggestions for graduation wishes & messages, and graduation quotes. Be it college, or high school; Just click on any of the previews to get started. Enjoy these graduation card messages. That means i have been busy making lots of graduation cards. Add your photo to graduation card template and print. Makes a perfect centerpiece for the party gift table and a secure way to hold money and cards given by guests. What to write in a graduation card to your graduating students. Celebrate your graduate with a custom, handmade graduation gift card holder. ...
Komentar
Posting Komentar